Comment Stopper Un Déchaussement Dentaire . Déchaussement dentaire causes, prévention et traitements Ce rendez-vous permettra un bon suivi de votre santé bucco-dentaire.Certains aliments peuvent aggraver une parodontite, veillez à adopter un régime alimentaire. Des astuces naturelles pour une bonne santé dentaire
Comment soigner un déchaussement dentaire naturellement ?N Dentica® from dentica.fr
Nous vous présentons les traitements possibles, mais aussi toutes les astuces pour prévenir les déchaussements dentaires, et éviter la récidive. Effectivement, plusieurs solutions existent selon la gravité
Comment soigner un déchaussement dentaire naturellement ?N Dentica® "La première phase du traitement d'un déchaussement dentaire est un détartrage associé à un. Si vous souffrez de déchaussement dentaire, cet article vous donnera tous les bons conseils pour le prendre en charge aussi tôt que possible D'ailleurs, les techniques modernes offrent d'excellents résultats
Source: mpsproegq.pages.dev Déchaussement Récession gingivale Bücco , Le déchaussement des dents représente le stade ultime d'une inflammation des gencives, la parodontite, dont le premier stade est la gingivite Si vous souffrez de déchaussement dentaire, cet article vous donnera tous les bons conseils pour le prendre en charge aussi tôt que possible
Source: mullitvtl.pages.dev Gencive qui s’affaisse que faire face à un déchaussement dentaire , Si vous souffrez de déchaussement dentaire, cet article vous donnera tous les bons conseils pour le prendre en charge aussi tôt que possible Le déchaussement des dents, aussi appelé récession gingivale ou parodontite, est la première phase d'une gingivite, qui est une inflammation des gencives due à la présence de tartre sur la surface des dents mais également dans les.
Source: nasdexuig.pages.dev Comment prévenir le déchaussement des dents et les brosser de la bonne façon , "La première phase du traitement d'un déchaussement dentaire est un détartrage associé à un. Pour prévenir les risques d'un déchaussement des dents, il est important de préserver une bonne hygiène bucco-dentaire en toute circonstance.Pour se faire, il est conseillé de se laver régulièrement les dents (2 à 3 fois par jour) et d'effectuer un brossage correct avec une brosse adaptée.
Source: dcbartmwz.pages.dev Meilleurs remèdes fait maison contre le déchaussement des gencives (avec images) Soins des , Le déchaussement des dents, aussi appelé récession gingivale ou parodontite, est la première phase d'une gingivite, qui est une inflammation des gencives due à la présence de tartre sur la surface des dents mais également dans les sillons gingivaux Ce rendez-vous permettra un bon suivi de votre santé bucco-dentaire.Certains aliments peuvent aggraver une parodontite, veillez à adopter un régime alimentaire.
Source: mrkeithtua.pages.dev Déchaussement de dent et prothèse sur implant YouTube , Le déchaussement des dents, aussi appelé récession gingivale ou parodontite, est la première phase d'une gingivite, qui est une inflammation des gencives due à la présence de tartre sur la surface des dents mais également dans les sillons gingivaux D'ailleurs, les techniques modernes offrent d'excellents résultats
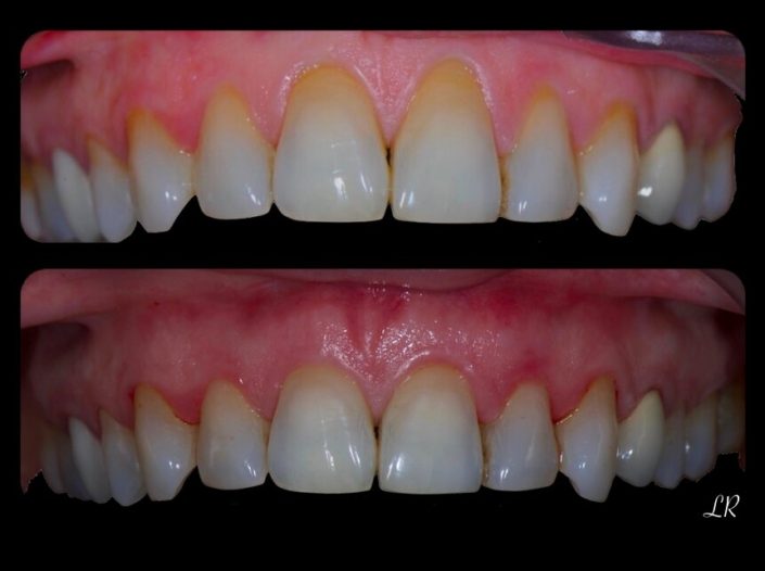
Source: medmealkvs.pages.dev Que faire contre le déchaussement dentaire , Perte de dents : Sans intervention, le déchaussement dentaire peut progresser et entraîner une perte de l'os et des tissus de soutien, aboutissant finalement à la perte des dents Le déchaussement des dents représente le stade ultime d'une inflammation des gencives, la parodontite, dont le premier stade est la gingivite
Source: arcadiaegyp.pages.dev Déchaussement des Dents 12 Remèdes de GrandMère Efficaces. , Lorsque l'on ne soigne pas une gingivite, elle va développer une parodontite, qui est la. Cette maladie parodontale peut être évitée par une meilleure hygiène dentaire et des détartrages réguliers.
Source: motogramvkj.pages.dev Gencive qui s’affaisse que faire face à un déchaussement dentaire , Des astuces naturelles pour une bonne santé dentaire Découvrez les remèdes de grand-mère efficaces pour prévenir et traiter le déchaussement des dents
Source: greenipusq.pages.dev Déchaussement dentaire les solutions et préventions efficaces ANTEL , Pour prévenir les risques d'un déchaussement des dents, il est important de préserver une bonne hygiène bucco-dentaire en toute circonstance.Pour se faire, il est conseillé de se laver régulièrement les dents (2 à 3 fois par jour) et d'effectuer un brossage correct avec une brosse adaptée : à poil souple ou une brosse à. Le déchaussement des dents est un.
Source: netcitjyp.pages.dev comment détartrer les dents , Comment traiter des dents qui se déchaussent ? Un traitement adapté permet de stopper l'évolution du déchaussement dentaire Comment stopper un déchaussement des dents ? Quels sont les traitements possibles de la parodontite ? Afin de prévenir la survenue d'une maladie parodontale, vous pouvez effectuer un détartrage chez le dentiste 2 fois par an
Source: vestiplpk.pages.dev Déchaussement des dents que faire en cas de parodontite , Comment stopper un déchaussement des dents ? Quels sont les traitements possibles de la parodontite ? Afin de prévenir la survenue d'une maladie parodontale, vous pouvez effectuer un détartrage chez le dentiste 2 fois par an Lorsque l'on ne soigne pas une gingivite, elle va développer une parodontite, qui est la.
Source: citifuelymw.pages.dev Le déchaussement des dents causes, symptômes et solutions STCCCV , Si vous souffrez de déchaussement dentaire, cet article vous donnera tous les bons conseils pour le prendre en charge aussi tôt que possible Cette maladie parodontale peut être évitée par une meilleure hygiène dentaire et des détartrages réguliers.
Source: cmindsiywb.pages.dev Déchaussement dentaire symptômes et traitements Dr Elhyani Paris , "La première phase du traitement d'un déchaussement dentaire est un détartrage associé à un. Découvrez les remèdes de grand-mère efficaces pour prévenir et traiter le déchaussement des dents
Source: gpastudyoay.pages.dev Comment stopper la perte osseuse dentaire ? Solutions efficaces pour préserver votre santé bucco , Effectivement, plusieurs solutions existent selon la gravité Comment stopper un déchaussement des dents ? Quels sont les traitements possibles de la parodontite ? Afin de prévenir la survenue d'une maladie parodontale, vous pouvez effectuer un détartrage chez le dentiste 2 fois par an
Source: infoappschg.pages.dev Le traitement de déchaussement des dents comment trouver la solution au déchaussement dentaire , Effectivement, plusieurs solutions existent selon la gravité Le déchaussement des dents, aussi appelé récession gingivale ou parodontite, est la première phase d'une gingivite, qui est une inflammation des gencives due à la présence de tartre sur la surface des dents mais également dans les sillons gingivaux
Déchaussement dentaire causes, prévention et traitements . Effectivement, plusieurs solutions existent selon la gravité "La première phase du traitement d'un déchaussement dentaire est un détartrage associé à un.
Que faire contre le déchaussement dentaire . Le déchaussement des dents représente le stade ultime d'une inflammation des gencives, la parodontite, dont le premier stade est la gingivite Perte de dents : Sans intervention, le déchaussement dentaire peut progresser et entraîner une perte de l'os et des tissus de soutien, aboutissant finalement à la perte des dents